Флюороз — эндемическое заболевание, возникающее из-за повышенного содержания фтора в питьевой воде. Поскольку основная причина его возникновения кроется в окружающей среде, профилактика заболевания, то есть контроль количества фтора в воде и воздухе, становится особенно актуальной и представляет собой затруднительную задачу¹.
Лечение проводится при средних и тяжелых формах патологии. Флюороз значительно влияет на уверенность пациента в себе и снижает качество жизни. В зависимости от тяжести заболевания лечебные мероприятия включают в себя:

Разберем комплексный подход к лечению флюороза на примере клинического случая.
Клинический случай²
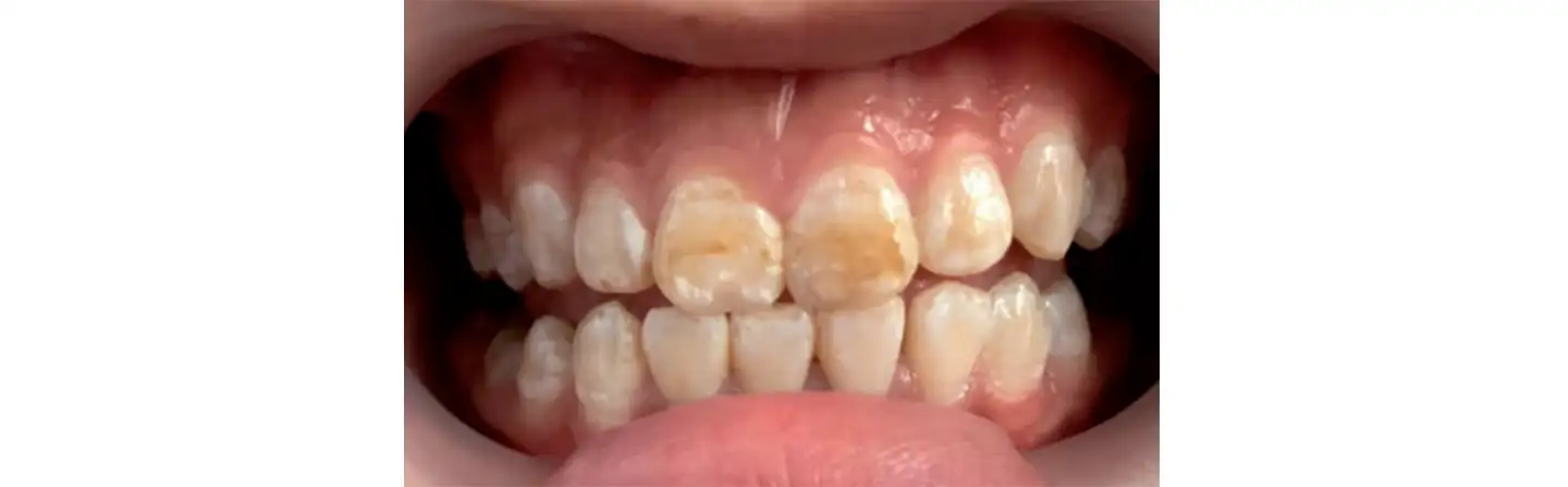
Пациентка 22 лет жалуется на эстетические дефекты в виде неровных меловых и коричневых пятен. Она живет рядом с угледобывающим заводом – источником фтора в воде и воздухе. Гигиена рта надлежащая, признаков гингивита не обнаружено.
Поставлен диагноз флюороз.

Клиническая картина до лечения

Пациентке было проведено лечение:

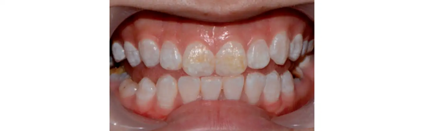
Клиническая картина после проведения микроабразии и отбеливания:

Процесс инфильтрации смолой
Итоговый показатель флюороза поверхности зуба составил один балл, результат удовлетворил врача и пациента.

Стабильный результат по прошествии двух лет

Во время поэтапного лечения флюороза зубы становятся гиперчувствительными даже при применении десенсибилизирующих паст. Для избежания болевого синдрома можно рекомендовать пациентам препарат Кеторол® Экспресс. Препарат представлен в виде диспергируемых таблеток. Они растворяются во рту за несколько секунд и не требуют запивания водой. Таблетка не окрашивает полость рта и не мешает проведению манипуляций.
Комплексное лечение флюороза повысит уверенность пациента в себе и улучшит его качество жизни.

Источники
Флюороз значительно влияет на эстетический вид зубов. Успешное лечение патологии требует комплексного подхода. Узнайте, как добиться максимального успеха в лечении на примере успешного кейса.
Комментарии (0)