Команда «Медзнат» стремится не упускать важных событий в мировой медицине. В апреле медикам удалось продвинуться в ранней диагностике деменции, перевезти донорское сердце через Атлантику и представить миру сверхмощный томограф.
Болезнь Альцгеймера можно распознать за 12 лет до постановки диагноза
Диагностировать болезнь Альцгеймера на ранней стадии практически невозможно, обычно диагноз ставят тогда, когда признаки болезни очевидны. Считается, что ранняя диагностика важна для раннего начала профилактических мер, своевременное принятие которых, кажется, способно притормозить прогрессирование болезни.
Исследовательская группа из Великобритании во главе с Ээф Херегворст опубликовала (см. прим. 1) результаты исследования, в котором приняли участие более 8,5 тысяч человек. Авторы уверяют, что им удалось обнаружить признаки деменции еще за 12 лет до дебюта болезни – за время эксперимента болезнь выявили у 537 участников.
Перед началом исследования каждый участник эксперимента прошел тест на зрительную чувствительность: нужно было смотреть на экран и нажимать на кнопку, когда на поле из точек начинали появляться контуры треугольника. Исследователи утверждают, что у тех, кто в дальнейшем столкнулся с болезнью Альцгеймера, зрительная чувствительность на момент начала эксперимента была ниже – они позже нажимали на кнопку, чем те, кому деменцию не диагностировали.
Исследователи полагают, что амилоидные бляшки, которые образуются в головном мозге, затрагивают не только области, влияющие на память, но и те, которые связаны со зрением. Болезнь меняет не только зрительную чувствительность, но и контрастную чувствительность, а также способность отличать один цвет от другого.
Еще один признак, указывающий на болезнь – замедленная реакция на раздражающие зрительные стимулы. На самых ранних стадиях болезни, когда человек ведет полноценную жизнь, эти изменения могут увеличить число ситуаций, опасных для жизни, например, аварий.
Исследователи продолжают изыскания в этой области и надеются, что смогут узнать больше о методах, способных затормозить развитие болезни. Они предполагают, что упражнения, сопровождающиеся интенсивным движением глаз, могут улучшить память – однако, пока что экспериментов в этой области не так много.
Донорское сердце впервые перевезли через Атлантику и успешно пересадили пациенту

В Париже состоялась уникальная (см. прим. 2) пересадка сердца. Донорский орган доставили с Французских Антильских островов, находящихся в Карибском море. Донором стал 47-летний мужчина, скончавшийся после инсульта. Его сердце извлекли и доставили на самолете во Францию, перелет составил 12 часов.
В ходе перевозки использовалась гипотермическая оксигенированная перфузия (HOPE, hypothermic oxygenated perfusion). Несмотря на существующие клинические испытания- это первый случай, когда метод применили в столь экстремальных условиях.
Уникальную трансплантацию – сердце, которое совершило трансатлантический перелет, врачи пересаживали впервые в мире – провели Гийом Лебретон и Паскаль Лепринс из парижской больницы Питье-Сальпетриер. Пациентом стал 70-летний мужчина с терминальной формой сердечной недостаточности. Операция прошла успешно, и мужчина был выписан из больницы спустя 30 дней.
Операция стала частью проекта PEGASE, цель которого – сделать трансплантации после длительного хранения органов рутинной практикой. Опыт французских хирургов показывает, что это вполне реально.
Ранее максимальный промежуток, который проходил от изъятия сердца до его пересадки, составлял 4 часа. Результаты «трансатлантической» операции доказывают, что время может быть значительно увеличено, а это значит, что шансы на подбор подходящего органа, в котором жизненно нуждаются пациенты, заметно повышаются.
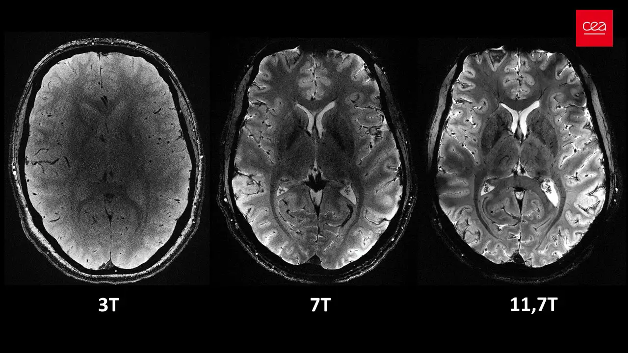
Самый мощный в мире томограф «видит» то, что раньше было незаметно

Во Франции создали томограф Iseult мощностью 11,7Т (Тесла) – это самый мощный прибор для проведения МРТ на данный момент. Максимальные возможности устройства предыдущего поколения были ограничены 7Т.
Новый прибор способен за минуты сделать то, с чем менее продвинутые устройства справляются за несколько часов. Результатом становятся изображения высокой точности и четкости. Сама процедура более комфортна для пациента, так как занимает менее длительное время.
Разработкой томографа в течение 20 лет занимались в Комиссариате по атомной и альтернативным видам энергии во Франции. Прибор весит 132 тонны, а его длина 5 метров (см. прим. 3).
Авторы надеются, что новое устройство позволит узнать больше о мельчайших изменениях в головном мозге, возникающих при нейродегенеративных и психиатрических заболеваниях, что улучшит диагностику и сделает терапию более результативной.
Источники:
Зрительная чувствительность коррелирует с развитием деменции в будущем
Успешная пересадка и трансатлантический перелет для донорского сердца
Ксения Скрыпник, кандидат биологических наук
Комментарии (0)